
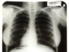
Рентгеновские снимки грудной клетки Мэрилин Монро были проданы на аукционе Hollywood Legends в Лас-Вегасе за 45 тысяч долларов, сообщает Associated Press. Торги проходили в выходные, 26 и 27 июня. Несколько рентгеновских снимков были сделаны в 1954 году, когда Монро поступила в медицинский центр Cedars of Lebanon Hospital во Флориде с диагнозом эндометриоз. Весной 2010 года аукционный дом Julien's объявил о том, что снимки будут проданы в рамках аукциона вещей, связанных с именами голливудских актрис. Ожидалось, что максимальная стоимость рентгена грудной клетки Мэрили Монро не превысит трех тысяч долларов. Среди прочих вещей, проданных на аукционе в Лас-Вегасе, также оказалось кресло, фигурировавшее в последней фотосессии Монро для журнала Life Magazine. Этот предмет мебели ушел с молотка за 35 тысяч долларов.
Дата: 28/06/2010 14:35:34
Прочитана раз: 192
Комментарии [0]