Войти на сайт
(
)
[
Вход
] [
Регистрация
]
Для общения
»
Игры on-line
» Хочу увидеть [Not_Find]
[
Обновить
]
[
Ответить
]
[
Добавить в закладки
]
Страница:
1
,
2
,
3
...
176
,
177
,
178
...
296
,
297
,
298
Sacrum
(
off
)
(
10:33 01-08-2014
)
печенько
Прикрепленный файл .jpg:
скачать
(22.7Kb)
Линь
(
off
)
(
10:48 01-08-2014
)
Девушку на лошади
Прикрепленный файл .jpeg:
скачать
(37.1Kb)
Sacrum
(
off
)
(
10:55 01-08-2014
)
слоника
Прикрепленный файл .jpg:
скачать
(112.4Kb)
[)AVI[)
(
off
)
(
16:27 06-08-2014
)
Гром
Прикрепленный файл .gif:
скачать
(66.3Kb)
Shirpotreb
(
off
)
(
18:29 07-08-2014
)
Гром - звуковое явление. Поэтому лови молнию и представь раскаты грома в голове.
Милейшего кота
Прикрепленный файл .jpg:
скачать
(80.3Kb)
Линь
(
off
)
(
21:11 07-08-2014
)
Обезьяну с гранатой
Прикрепленный файл .jpg:
скачать
(41.5Kb)
Кассиопей
(
off
)
(
17:43 10-08-2014
)
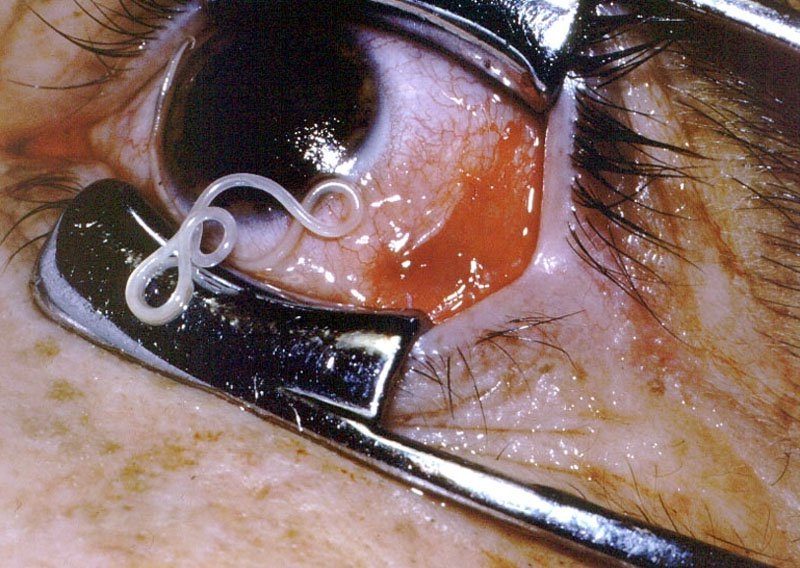
противного червяка
Прикрепленный файл .jpg:
скачать
(35.6Kb)
[)AVI[)
(
off
)
(
20:52 10-08-2014
)
Будущее планеты
Прикрепленный файл .jpeg:
скачать
(171Kb)
~Livija~
(
off
)
(
08:53 12-08-2014
)
Хочу увидеть смешного кота.
Прикрепленный файл .jpg:
скачать
(38.2Kb)
Веселлый
(
off
)
(
21:41 15-08-2014
)
Хочу увидеть Филю, Хрюшу и Степашку.neznayu.
Прикрепленный файл .jpg:
скачать
(29.1Kb)
Далее »
« Назад
Страница:
1
,
2
,
3
...
176
,
177
,
178
...
296
,
297
,
298
[
Ответить
]
[
Обновить
]
[
Добавить в закладки
]
Для общения
»
Игры on-line
» Хочу увидеть [Not_Find]
На главную
©
m.sasisa.cc